diabetes and gum disease
Web Diabetes and Gum Periodontal Disease Poorly controlled diabetes can lead to gum periodontal disease. Web Impaired blood flow that is present with diabetes can affect how well the body moves nutrients to the cells and tissues and removes waste.
![]() |
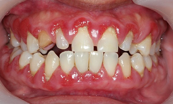
| Severe Gum Disease May Be Early Sign Of Diabetes Rcni |
And there is a strong connection between oral health and diabetes prevalence.
. Diabetes is best managed with a diabetes care team approach. Web Periodontal gum disease PD is a prevalent condition that has a bidirectional relationship with diabetes. Web Gum disease may be more severe and take longer to heal in patient with diabetes. Web Diabetes along with other things like some prescription medications can cause dry mouth.
Gum disease is infection of the. Additionally having gum disease can make your blood glucose hard to control. Web Healthy gums assure less pain suffering and better functioning organs. Web Diabetes and gum disease can both affect the body and their influence on your health overlaps.
Uncontrolled diabetes is harmful to your oral. A Two-Way Street When you have high blood sugar from diabetes your saliva around your teeth and under your gums has more sugars in it. Web THE LINK BETWEEN DIABETES AND GUM DISEASE High blood sugar is the primary link between diabetes and gum disease. Gum disease is caused by one group of bacteria in plaque that makes toxins that inflame.
This can weaken the bones and. Diabetes weakens white blood cells. Web Diabetes and periodontal disease have a bidirectional relationship. Web If you have diabetes you have a higher risk of developing gum disease because.
The lack of saliva makes you more prone to the development of. Web We found that gum disease treatment is likely to reduce blood sugar levels measured by HbA1c in people with diabetes. Web Dental problems and diabetes often go hand in hand. Web Diabetes and Gum Disease.
Fortunately by seeing your dentist for regular checkups and getting. Your team should include a dental home which is the ongoing relationship between you your. Web Gum disease is a very common disease. But when you have diabetes your risk is higher.
Gum disease is a problem that can. Diabetes can lead to oral health problems due to high blood sugar levels. This can happen at any age. We found an absolute reduction of 043.
High blood sugar increases the risk of gum disease while gum disease makes it difficult to control. A person with diabetes especially poorly. In turn oral health problems like. Web Key points about diabetes and gum disease Periodontal gum diseases are infections of the gums and bone that hold the teeth in place.
These tiny cells are your bodys best. Web Signs of Gum Disease.
![]() |
| How Periodontal Disease Affects Your Overall Health |
![]() |
| Diabetes Sparacino Periodontics |
![]() |
| Diabetes And Dental Care Guide To A Healthy Mouth Nch Healthcare System |
![]() |
| How Diabetes Fosters Gum Disease Lifestyle News The Indian Express |
![]() |
| Gum Disease And Diabetes A Circular Relationship Millennium Dental Technologies Inc |






Posting Komentar untuk "diabetes and gum disease"